Серія систем для загальної рентгенографії

Модельний ряд налічує три конфігурації компактних рентгенографічних систем для рентгенографії загального призначення, з високою якістю зображення та ефективністю. Можна розширити базову конфігурацію системи, щоб відповідати конкретним клінічним задачам відділення.


У поєднанні з плоским детектором (FPD) та цифровим процесором обробки зображень рентгенографічна система може виконуватися широкий спектр досліджень, з використанням самих сучасних автоматичних функцій для мінімізації робочого навантаження.


Якісна рентгенографія – найважливіший інструмент


Основні вимоги до рентгенографії акуратно вписуються в збалансований та оптимізований пакет:

  • Надійний та зручний для користувача,
  • Висока якість зображення,
  • Можливість цифрового оновлення – поєднання з плоским детектором Canon Medical Systems;


RADREX – це проста система з якостями, що задовольняють потреби кожного:

  • Для лаборанта – простота експлуатації та зручність укладки  пацієнта,
  • Для лікаря – високотехнологічна діагностика з використанням високоякісних зображень,
  • Для керівника – надійність.
  • Загальна надійність

Ці системи можуть бути швидко встановлені в компактне приміщення. Вони сконструйовані для тривалого терміну експлуатації та використовують повністю надійні компоненти.

 

 

  • Широкий спектр застосувань

Кріплення рентгенівської трубки з широким діапазоном руху ідеально підходять для численних рентгенографічних функцій. Стіл з пристроєм Бакі має широкий вибір аксесуарів, призначених для легкого кріплення (опційно).

 

 

  • Простота експлуатації

Ці системи розроблені з урахуванням потреб користувача та мають відмінні характеристики позиціонування. Різні рентгенографічні параметри можна запрограмувати та потім ними скористатися за допомогою керування в один дотик. Просте і легке завантаження касети (або плоского детектору).


Сучасна автоматизована система

Стандартна конфігурація з високою продуктивністю

Бюджетна конфігурація

Зручне керування

Автоматична колімація

Синхронний рух


Вибір генератору:

80 кВт, 150 кВ, 1000 мА

 

  • Кольорова сенсорна панель керування;
  • Керування в один дотик;
  • Макс. 672 програми;
  • Новий високочастотний інвертор; 
  • Невелика площа встановлення;
  • Комплектація з AEC детектором.

50 кВт, 150 кВ, 630 мА


  • Керування в один дотик;
  • Макс. 3996 програм;
  • Новий високочастотний інвертор; 
  • Невелика площа встановлення;
  • Комплектація з AEC детектором.

ВИБІР КРІПЛЕННЯ ТРУБОК:

Стельове кріплення

  • Діапазон переміщення по-висоті: 170 см;
  • Відстань від стелі до фокусу трубку: від 85 см до 255 см;
  • Гальма: електромагнітні;
  • Коліматор: авто колімація;
  • Параметри експозиції можна змінювати з панелі керування на трубці.

Стельове кріплення

  • Діапазон переміщення по-висоті: 170 см;
  • Відстань від стелі до фокусу трубку: від 85 см до 255 см;
  • Гальма: електромагнітні;
  • Коліматор: колімація вручну.

Колона стеля-підлога

  • Діапазон повздовжнього переміщення: 250 см;
  • Діапазон попереднього переміщення: 40 см;
  • Діапазон переміщення по-висоті: 166 см;
  • Гальма: електромагнітні;
  • Коліматор: колімація вручну.

ВИБІР СТОЛУ:

Стіл з регулюванням по-висоті

 

  • Розмір деки: 82 см × 230 см;
  • Висота від підлоги: від 35 см до 95 см;
  • Повздовжнє переміщення: 100 см;
  • Поперечне переміщення: ±12 см.

Стіл з фіксованою висотою

​​​​​​​

  • Розмір деки: 82 см × 210 см;
  • Висота від підлоги: 68 см;
  • Повздовжнє переміщення: 90 см;
  • Поперечне переміщення: ±12 см.

Опції для столу:

  • Латеральний тримач детектору; 
  • Компресійний пасок простий;
  • Компресійний пасок з фіксатором;
  • Тримач для рук;
  • Захисний мат для столу; 
  • Захисне покриття для мату; 
  • Підсилена карбонова дека.


Програмне забезпечення Advanced Edge Enhancement

Для покращення візуалізації трубок, катетерів та деталізації кісток.

 

Доступні три різні типи Advanced Edge Enhancement (Удосконалене підсилення країв):

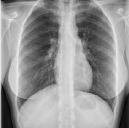
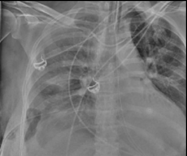
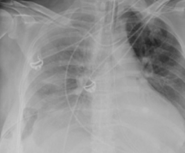
Тип 1 – Катетер:

 

Цей тип сприяє відображенню катетерів, м'яких тканин та кісткових тканин. Виберіть цей варіант, коли ви хочете зробити катетери більш помітними в основному в області грудної клітки або в адбомінальній області дорослих, або коли ви хочете отримати більше видимості м'яких або кісткових тканин, таких як шийний відділ хребта, кінцівок і таза.

Звичайний знімок

Із використанням Advanced Edge Enhancement

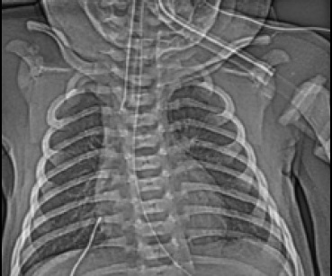
Тип 2 – Малі структури:

 

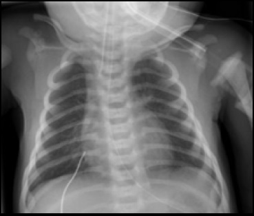
Цей тип сприяє покращенню прояву дрібних структур в організмі. Виберіть цей варіант обробки, коли ви хочете зробити більш видимими катетери, які в основному використовуються для дітей або немовлят.

Звичайний знімок

Із використанням Advanced Edge Enhancement

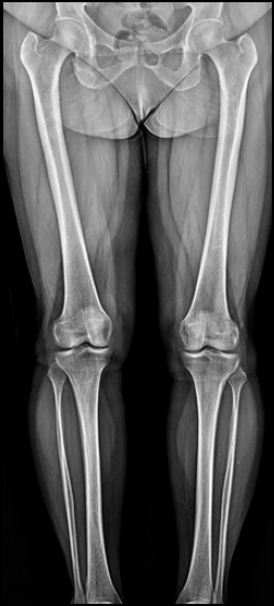
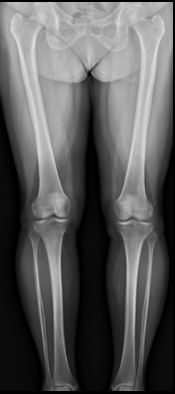
Тип 3 – Кістки:

 

Цей тип призначений для підсилення краю кісткових тканин. Виберіть цей тип обробки, коли ви хочете отримати кращу візуалізацію кісткових тканин повного хребта або нижніх кінцівок, в основному отриманих під час зйомки з наступним зшиванням (так званий Stitching).

Звичайний знімок

Із використанням Advanced Edge Enhancement