КТ надвисокої роздільної здатності
Точність у кожній деталі


Вдвічі збільшена роздільна здатність в порівнянні зі звичайними КТ системами. Перша в світі КТ система з ультрависокою роздільною здатністю (УРЗ), що може візуалізувати навіть маленькі анатомічні ділянки в 150 мікрон. Aquilion Precision забезпечує якість зображення з роздільною здатністю, яку можна побачити тільки в рентген операційній.

 

Характеристики системи:

  • Детектор PUREViSION, 160 рядів по 0.25 мм
  • Швидкість ротації - 0.35 сек.
  • Апертура гентрі – 78 см.
  • Кут нахилу гентрі  +- 30 °
  • Вантажопідйомність столу – 315 кг.
  • Максимальний діапазон сканування  - до 200 см
  • Спіральне сканування - до 80 кадр/сек. 

Ультрависока роздільна здатність (УРЗ)

Технологічні інновації


  • Нова конструкція труби з найменшою фокальною плямою в галузі
  • Найменший в галузі елемент детектора 0,25х160 рядків
  • Стіл пацієнта з посиленим привідним механізмом руху

Інновації в реконструкції


  • Нова матриця 1024 x 1024
  • Оптимізація для КТ досліджень з  ультрависокою роздільною здатністю (УРЗ)
  • 150 мікрон, 50 lp/cm* роздільна здатність
  • AIDR 3D Enhanced оптімізовано для КТ досліджень з ультрависокою роздільною здатностю (УРЗ)
  • FIRST (MBIR) оптимізований для КТ досліджень з УРЗ


*MTF 0% (референтне значення)


Precision, детектор для ультрависокої роздільної здатності (УРЗ) зображень


  • 0.25 мм x 160 рядків, 1792 каналів
  • Низькі електронні шуми


Precision, конструкція рентгенівської трубки для досліджень з UHR

 

  • Розмір малої фокальної плями (0.4 мм X 0.5 мм)

Precision, технології стола пацієнта UHR Couch Technology


  • Двохступінчатий механізм руху

FIRST, MBIR реконструкція оптимізована для досліджень з високою роздільною здатністю


Ітеративна реконструкція, що базується на моделі:

  • Нова реконструкція MBIR з можливістю зниження шуму і підтримання роздільної здатності.
  • Інтегрована та проста в використанні 
  • Автоматизована
  • Швидка 

Нова матриця з ультрависокою роздільною здатністю (УРЗ)

512 x 512
Звичайна КТ

1024 x 1024
КТ з ультрависокою роздільною здатністю 

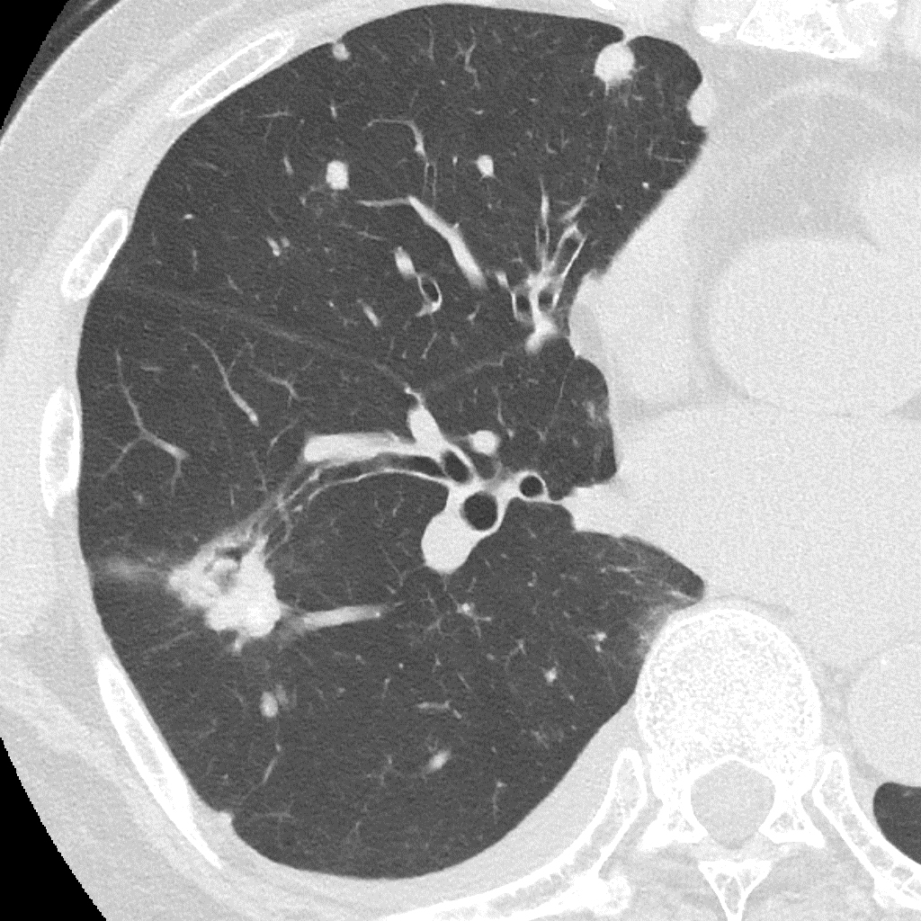
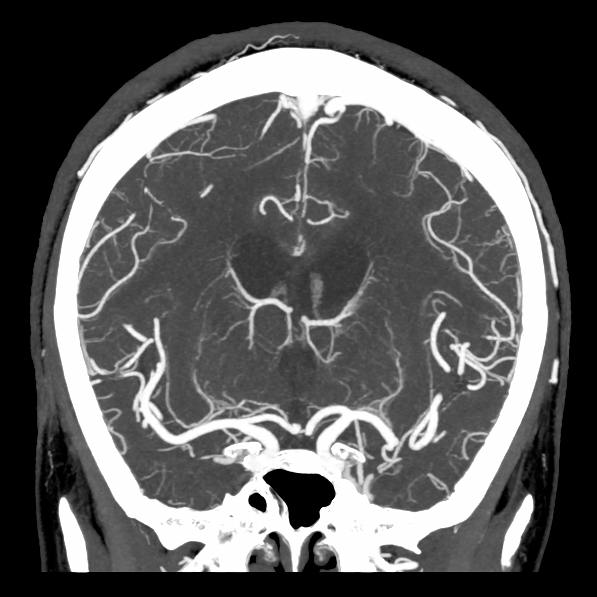
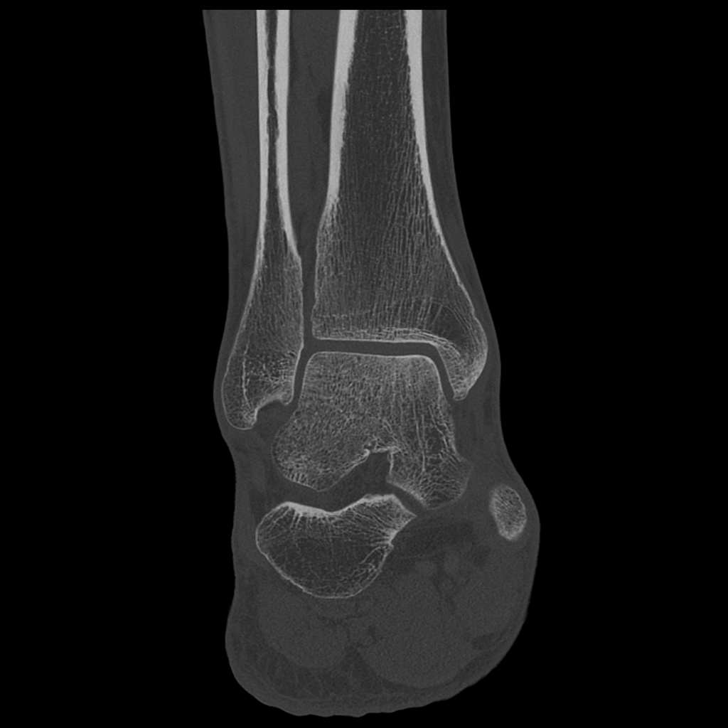
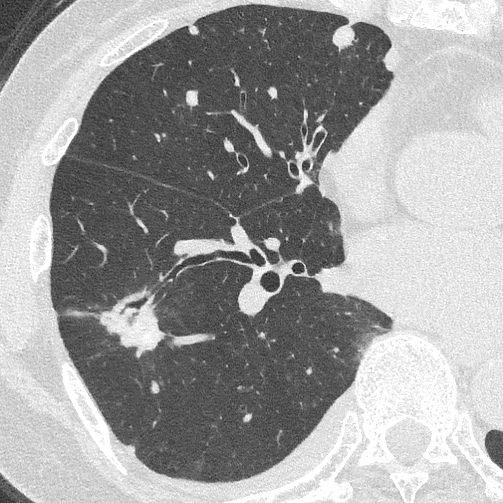
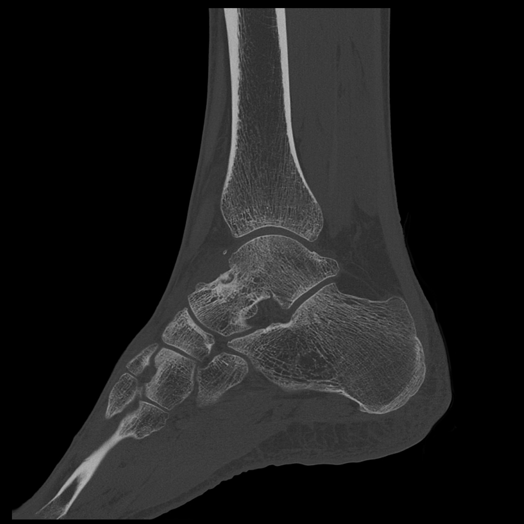
Клінічні приклади 

 

КТ ангіографія голови, 0,25 мм, 1024 матриця¹

Порівняння звичайної роздільної здатності з ультрависокою роздільною здатністю (УРЗ)²

Звичайна КТ 0,5 мм

КТ з ультрависокою роздільною здатністю 0,25 мм ³