РАЗОМ,
НОВИЙ ПІДХІД
ДО ІНТЕРВЕНЦІЙ.
РАЗОМ,
НОВИЙ ПІДХІД
ДО ІНТЕРВЕНЦІЙ.
Ангіографічна система з кріпленням на стелі та великим розміром детектора для застосування в ангіографії та інтервенційній радіології, зокрема інтервенційній онкології.
Забезпечуючи неперевершений гнучкий доступ до пацієнта та можливість отримати 3D об’єм від голови до ніг багатоосьова система з кріпленням на стелі ідеально підходить навіть для найскладніших інтервенційних процедур.

Система Alphenix Sky+ має унікальну конструкцію подвійної С-арки, завдяки цьому забезпечується:
Завдяки ізоцентричному обертанню система Alphenix Sky+ забезпечує неперевершений доступ та покриття навіть при найскладніших втручаннях. Подвійна конструкція С-арки з можливістю обертанням як справа, так і зліва від пацієнта з найбільшою швидкістю дозволяє скоротити час затримки дихання, зменшити кількість контрасту та отримати бездоганний 3D об'єм від голови до п’ят без необхідності переміщувати пацієнта:
Крім того, забезпечується:
Новий сенсорний пульт керування
Конфігуруються численні вкладки відповідно до потреб користувачів:
Початковий екран:
Технології контролю та зменшення дози:
Технології, що включені у базову конфігурацію:
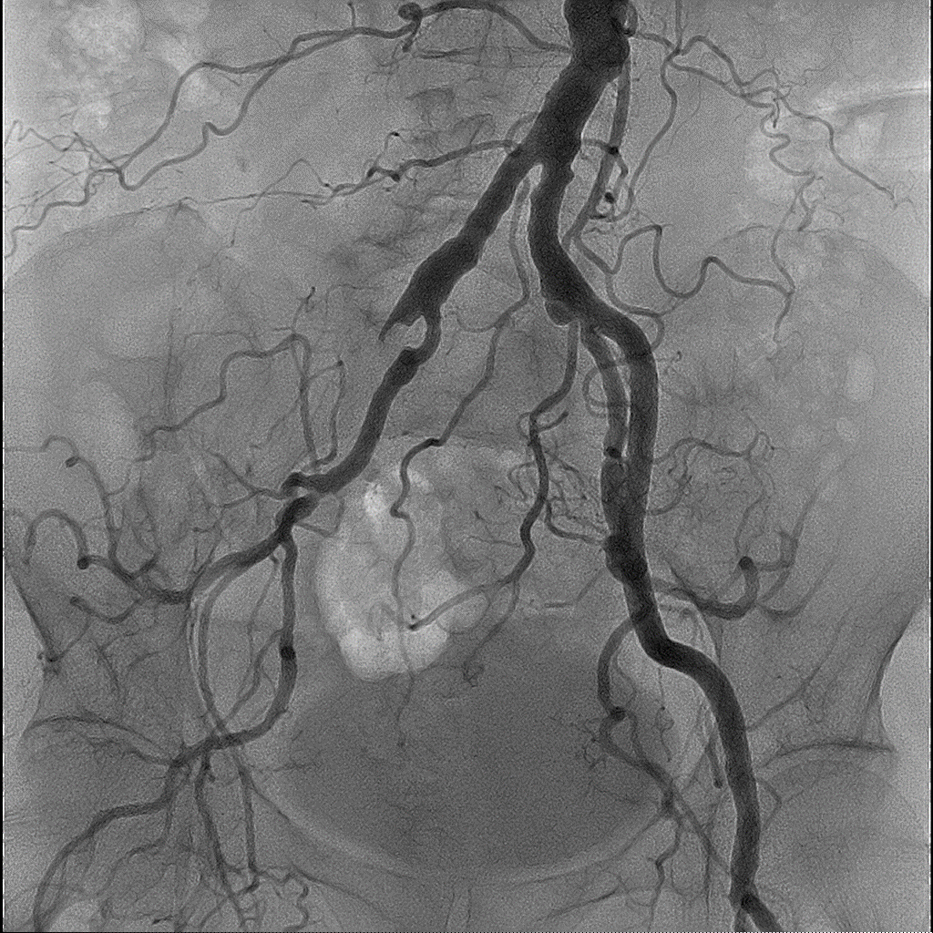
Програмне забезпечення Embolization Plan використовується для аналізу 3D-зображень. Це дозволяє виокремити пухлину і судини, що кровопостачають її, та візуалізувати для процедури трансрадіальної хіміоемболізації (TACE):

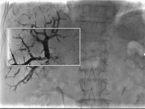
Програмне забезпечення AlphaCT для КТ-подібних зображень
Доповненням до 3D зображення є функція КТ-подібних зображень (так зв. Cone-beam CT), яка є інформативної для відображення областей з низьким контрастом, судин з різною густиною, а також стентів і катетерів, наприклад, контролю кровотечі під час нейро інтервенційної процедури або емболізації судин черевної порожнини.

Програмне забезпечення 3D реконструкції
В основу покладена робота в режимі 3D DA або 3D DSA. Зйомку можна виконувати як з операційної, так і з пультової кімнати для зменшення дози на персонал, зі швидкістю обертання С-арки до 50°/с.
Численні режими візуалізації та реконструкції:
Програмне забезпечення 3D Roadmap
Флюороскопія в реальному масштабі часу накладається на об’ємні 3D зображення, що були отримані під час 3D ангіографії. При русі столу під час роботи в режимі 3D Roadmap автоматично відбувається співставлення зображення 3D та флюороскопічного. Всі рухи системи пов’язані з накладанням 3D об’єму та скопічних зображень, включаючи зміну кута нахилу С-арки, SID, розміру поля огляду, висоти позиціонування столу. Можливим є зсув попіксельно вручну для більш точного співставлення об’єму та флюоро.
Програмне забезпечення Needle Guidance
Використовується для підтримки навігації при введенні голки в реальному масштабі часу під час перкутанних втручань, таких як біопсія або РЧ абляція.
Ця функція вказує оптимальну для введення голки точку та відстань до наміченої цілі, використовуючи 3D об’єм (ангіо, КТ, МРТ); при цьому зазначається також оптимальне положення С-арки (можливе використання функції 3D авто-кут).

Програмне забезпечення MM Roadmap
3D об’єм, отриманий з КТ або МРТ (будь-якого виробника мед.обладнання) та скопічне зображення можуть бути автоматично (або вручну) накладені та виведені на монітор. Зображення на моніторі змінюватиметься синхронно в залежності від нахилу С-арки, зміни SID, поля огляду, висоти та положення деки столу.

Режим DSA
Color Coded Circulation
Режим Spot Fluoro
Програмне забезпечення Parametric Imaging
Використовується для візуальної оцінки і аналізу функціональності кровообігу. Параметричне зображення показує всю послідовність зображень у вигляді одного складеного зображення, яке характеризує динаміку контрастної речовини та полегшує візуальну оцінку. Крива залежності інтенсивності від часу аналізується для кожного окремого пікселя.
Для покращення розуміння кровотоку в судинах можливим є створення відео за рахунок пересування по кольоровій шкалі (Color Coded Circulation (CCC).

Режим Spot Fluoro
Режим Spot Fluoro передбачає асиметричну, сфокусовану на проблемній ділянці колімацію з одночасним відображенням оточуючої області та збереженням дози до 70%.
При цьому навколо ROI (область інтересу) знаходиться останнє збережене зображення (LIH). Таким чином знижується доза опромінення на пацієнта та розсіяне випромінювання на персонал, що буде особливо необхідним при довготривалих дослідженнях.

Режим Dynamic trace
Dynamic trace – режим дослідження кінцівок, передбачає рух деки столу за напрямком поширення контрастної речовини по периферичних судинах в режимі рентгенографії.
Програмне забезпечення для планування ендоваскулярного стентування аорти (EVAR)
Режим DSA+Landmark
Режим Dynamic Trace
Режим Multimodality Roadmap
Режим DSA