Інформаційні технології в сфері
охорони здоров'я
Програмні пакети Olea
Інформаційні технології в сфері
охорони здоров'я
Програмні пакети Olea
Клінічний додаток Olea Nova+ для МРТ
Olea Nova+ - це вдосконалений плагін постобробки даних MРТ, який пропонує метод автоматичного обчислення рутинних зображень із спеціалізованого протоколу.
Ключові переваги:
Клінічний пакет МРТ
Клінічний пакет МРТ, розроблений компанією Olea Medical включає аналіз дифузії, перфузії і оптимізовані до сучасних протоколів стандартні автоматизовані програмні пакети для різноманітних органів. Цей пакет допомагає покращити обробку даних та полегшити роботу з рутинними діями.
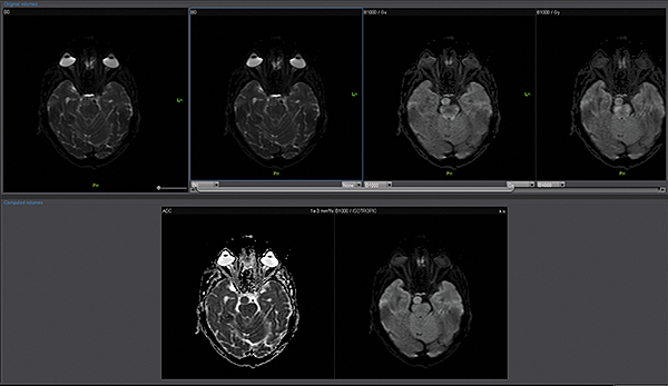
Дифузійно-зважена візуалізація (DWI)
Додаток DWI обробляє ізотропні зображення з кожного окремого коефіцієнта дифузії. Він обчислює параметричні карти, такі як карти ADC та експоненціальні карти ADC.
Перфузія DSC Perfusion
Додаток DSC Perfusion обчислює оптимізовані параметричні карти (rBV, rBF, TTP, MTT, TMAX, tMIP) із сирої перфузійної серії та забезпечує алгоритм для корекції ефектів розповсюдження контрастної речовини, обчислюючи карту проникності. Ця програма підтримує нерегулярний вибір часу та складається з наступних модулів: автоматична або ручна обробка arterial input function (функції артеріального наповнення), автоматична сегментація фону, чотири методи деконволюції (sSVD, cSVD, oSVD та байезівський) та алгоритм миттєвої корекції руху.
Аналіз
Додаток Аналіз візуалізує, сегментує, вимірює та оцінює широкий спектр наборів даних від звичайних серій до перфузійних та кінетичних серій разом із серіями DTI та DWI. Він забезпечує визначені користувачем накладання, включаючи візуалізацію органу/або патології, аналіз кінетики та кривих, аналіз кривих, статистику, співвідношення та гістограми, синтез декількох серій, напівавтоматичне сегментування об’єму, рендеринг об’єму та подальші динамічні спостереження.
Кінетика Kinetics
Додаток Kinetics вимірює тип контрастного підсилення за допомогою аналізу кінетичних кривих і передбачає злоякісність при патологіях молочної залози та передміхурової залози.
Mono Follow-up
Додаток Mono Follow-up містить вбудовану 3D-кореєстрацію між різнимидатами сканування, різними способами або різними серіями в межах одного дослідження. Він забезпечує оптимальний інтерфейс для ефективного відстеження та оцінки різних обстежень.
Дослідження інсульту MR Acute Care Stroke.
Незалежно від важкості невідкладного стану, ці додатки надають радіологам прямий доступ до звіту про інсульт в найкоротші терміни. Ці додатки включають інформацію про кровотік за допомогою унікальних динамічних порогових карт перфузії для візуальної оцінки гіпоперфузованих ділянок та використання методу Байєса для зменшення дози контрасту наполовину для перфузійного дослідження мозку.
Додаток Brain Tumor Streamlined.
Додаток Brain Tumor пропонує автоматизовану покрокову обробку, включаючи кількісний мультипараметричний аналіз. Ця програма також включає оптимізований алгоритм корекції витоку контрастної речовини для підвищення точності оцінки DSC MР-перфузії.
Додаток Head and Neck Streamlined.
Додаток Head and Neck забезпечує автоматичну оцінку дифузії, розрахунок карт проникності для контрасту, включаючи кількісні дані для ефективної оцінки відповіді пацієнта на лікування.
Додаток Breast Streamlined.
Додаток Breast Streamlined*- це ефективний інструмент для виявлення, характеристики та постановки діагнозу для утворень молочної залози. Цей додаток обчислює та відображає звичайні, дифузійні та кінетичні карти (якісні) та пропонує повний мультипараметричний аналіз, включаючи MPR та 3D візуалізацію, сегментацію об'єму, синтез кількох серій, кінетику та аналіз кривих. До Breast Streamlined також входить остання версія протоколу на основі BI-RADS® ATLAS. Цей пакет є корисним для поліпшення комунікації між рентгенологами, пацієнтами та направляючими лікарями. Стандартний інструмент звітності забезпечує хорошу оцінку ризику та спостереження за підозрілими знахідками.
Додаток Female Pelvis.
Додаток Female Pelvis аналізує патологічні морфологічні зміни тазових органів у жінок (яєчники, матка, тазове дно). За кілька кліків можна отримати точні показники: автоматичне обчислення дифузії для швидкої якісної оцінки змін у вказаних ділянках.
Додаток Prostate Streamlined.
Спеціальні програми Olea SphereTM для аналізу передміхурової залози включають в себе розширені можливості для оцінки дифузії та якісної оцінки перфузії. Також пропонують ефективний мультипараметричний аналіз усіх доступних послідовностей для візуалізації простати. В додатках реалізовано аналіз кінетики та кількісних даних на основі надійних математичних моделей. Програми передміхурової залози включають звіт PI-RADS® 2 для покращення виявлення, характеристики та вірогідності встановлення діагнозу раку простати. Цей програмний пакет стандартизує виклад протоколів опису, а також вказує рівень підозри або ризик виникнення клінічно значущих пухлин.
Програмний пакет MR Neuro
Опції експертного рівня для аналізу даних МРТ у пацієнтів з підозрою на інсульт дозволяють повністю автоматизувати процес і економити час. Найсучасніші програми надають користувачам новітні інструменти та програми для нейровізуалізації.
Додаток Basic Stroke
Додаток Basic Stroke інтегровано у розширену візуалізацію Vitrea. Він надає радіологам прямий доступ до звітів про інсульт на будь-якому етапі невідкладного стану.
Забезпечує доступ до повного набору інструментів постпроцессингу і аналізу параметрів, карт та показників в будь-якому місці і в будь-який час.
Повністю автоматизований робочий процес економить час пацієнтам, які перенесли інсульт.
Додаток MR Neuro
Додаток Neuro інтегрований у розширену візуалізацію Vitrea і забезпечує спеціальні протоколи для пухлини мозку та розширені протоколи інсульту, які забезпечують швидку оцінку захворювань головного мозку.
Обчислює оптимізовані параметричні карти (rBV, rBF, TTP, MTT, TMAX, tMIP) із первинної перфузійної серії
Використовує автоматизований та настроюваний робочий процес
Включає повністю автоматизовану поетапну обробку для пацієнтів з пухлинами мозку, включаючи кількісний та якісний мультипараметричний аналіз
Забезпечує корекцію витоку контрасту та створення карти K2 rBV
Пропонує один спеицифічний додаток: Розширений додаток Brain Tumor DSC DCE Expanded
Додаток MR Neuro ASL
Додаток Neuro Arterial Spin Labeling (ASL) інтегровано в розширену візуалізацію Vitrea і забезпечує неінвазивне зображення для ефективного вимірювання перфузії.
Кількісне вимірювання мозкового кровотоку ASL без введення контрастної речовини та без випромінювання є ключовим компонентом педіатричної візуалізації
Має перевагу перед методами на основі контрастних препаратів для пацієнтів, які мають протипоказання для введення контрастних речовин
Дозволяє завантажувати повторні мітки та контрольні зображення та виконує 2D корекцію руху для вирівнювання повторних переглядів
Використовує просторове згладжування зображень для збільшення співвідношення сигнал/шум
Включає кількісне визначення ASL кровотоку за допомогою Mo
Додаток MR Neuro ASL
Додаток Neuro Arterial Spin Labeling (ASL) інтегровано в розширену візуалізацію Vitrea і забезпечує неінвазивне зображення для ефективного вимірювання перфузії.
Кількісне вимірювання мозкового кровотоку ASL без введення контрастної речовини та без випромінювання є ключовим компонентом педіатричної візуалізації
Має перевагу перед методами на основі контрастних препаратів для пацієнтів, які мають протипоказання для введення контрастних речовин
Дозволяє завантажувати повторні мітки та контрольні зображення та виконує 2D корекцію руху для вирівнювання повторних переглядів
Використовує просторове згладжування зображень для збільшення співвідношення сигнал/шум
Включає кількісне визначення ASL кровотоку за допомогою Mo
Клінічний пакет MR Ortho Expert
Пакет MR Ortho Expert, що розроблений Olea Medical, включає спеціалізовані рішення для експертних користувачів, які хочуть отримати доступ до найновіших інструментів та програм для ортопедичної візуалізації.
Програмний пакет Relaxometry
Додаток Релаксометрія вимірює час релаксації за МРТ-зображеннями, покращує чутливість та знижує суб’єктивність візуальної оцінки, таким чином, покращуючи дослідження аномалій тканин.
За допомогою цього плагіна фахівці можуть оцінити розподіл води в хрящі для кращого виявлення суглобових аномалій, таких як ранній остеоартрит.
Плагін також дозволяє фахівцям вимірювати зміни хрящів у спортсменів, на яких часто впливає передчасне старіння та травми. Плагін релаксометрії надає T2_map, обчислену з T2-послідовностей (спінові ехо-послідовності з декількома ехо), пропонуючи оцінку T2.
Пакет MSK Cartilage
Додаток для оцінки хряща MSK (склетно-м’язовий пакет) створено для лікарів для візуальної оцінки пошкоджень хряща. Додаток MSK поєднує програми аналізу та релаксометрії.
Клінічний пакет MR Body
Пакет MR Body, який працює на базі Olea Medical™, надає користувачам доступ до найновіших інструментів та програм для візуалізації грудей, простати та тіла.и.
Додаток MR Head and Neck
Додаток Head and Neck інтегровано у розширену візуалізацію Vitrea і забезпечує автоматичну обробку дифузійних даних, розрахунок карт проникності (графічно представлених) для якісної оцінки гетерогенності ураження та аналізу кількісних даних для ефективної оцінки реакції пацієнта на лікування.
Застосовує ефективний мультипараметричний аналіз із врахуванням специфіки візуалізації голови та шиї
Використовує автоматизовану, налаштовану та інтуїтивно зрозумілу покрокову обробку
Пропонує два додатки:
Streamlined для стандартних протоколів
Expanded для глибокого аналізу
Додаток MR Breast
Додаток Breast інтегровано у розширену візуалізацію Vitrea і забезпечує ефективні інструменти для виявлення, характеристики та стадіювання ураження молочної залози.
Забезпечує миттєву комплексну оцінку ураження та високу якість оцінки дифузії
Пропонує звітність BI-RADS® ATLAS, що полегшує комунікацію між лікарями
Пропонує два додатки:
Streamlined для стандартних протоколів
Expanded для глибокого аналізу.
Додаток MR Prostate
Додаток MR Prostate інтегровано до розширеної візуалізації Vitrea. Він забезпечує виявлення, характеристику та стадіювання ураження.
Забезпечує миттєву комплексну оцінку ураження та високоякісну оцінку дифузії
Дає змістовну звітність, включаючи локалізацію та об’єм ураження
Надає рекомендації PI-RADS V2 щодо стандартизації термінології і протоколу опису, а також уточнює ризик клінічно значущих пухлин
Додаток MR Rectum
Додаток Rectum інтегровано у розширену візуалізацію Vitrea. Він забезпечує ефективну багатоетапну допоміжну пост-обробку та 3D-візуалізацію для ураження прямої кишки.
Дозволяє фахівцям відокремити межі пухлини та оцінювати мезоректальне ураження, вузли та віддалені метастази
Дає простий та швидкий доступ до якісного та кількісного аналізу для підвищення впевненості у діагностиці
Пропонує одне конкретне додаток:
Rectum Streamlined для оцінки прямої кишки
Додаток MR MSK
Додаток Musculoskeletal інтегровано в розширену візуалізацію Vitrea. Він забезпечує перегляд ортопедичних досліджень для оптимальної візуалізації та оцінки м’яких тканин та кісткових структур.
Використовує стандартизований протокол зчитування для кращої оцінки зв’язок, меніска, хряща та кісток
Забезпечує релаксометрію, вдосконалену методику кількісного аналізу, для поліпшення чутливості та зменшення суб'єктивності візуальної оцінки, таким чином, розширення дослідження ураження тканин
Пропонує один додаток:
MSK Cartilage при ураженнях хряща
Додаток MR Female Pelvis
Додаток MR Female Pelvis інтегрований у розширену візуалізацію Vitrea. Він забезпечує ефективний аналіз морфологічних змін в ділянці тазу при патологічних умовах.
Включає високоякісні можливості постобробки та 3D-рендерінгу
Дає простий та швидкий доступ до якісного та кількісного аналізу для підвищення впевненості у діагностиці
Пропонує один конкретний додаток:
Female Pelvis