Якісна діагностика
для всіх.
Якісна діагностика
для всіх.
Aquilion Start™- забезпечує просту та якісну діагностику. Оптимальна система для всіх поточних потреб.
Aquilion Start комплектується преміальними технологіями, що були створені для КТ систем преміального рівня. Система ретельно продумана та адаптована для різноманітних потреб.
ТЕХНІЧНІ ХАРАКТЕРИСТИКИ:
СУЧАСНІ ТЕХНОЛОГІЇ ЗНИЖЕННЯ ДОЗИ ТА ПОКРАЩЕННЯ ЯКОСТІ ЗОБРАЖЕННЯ:
ПЕРЕДОВІ ТЕХНОЛОГІЇ ВІЗУАЛІЗАЦІЇ
Технологія coneXact™
Унікальна технологія coneXact™ дозволяє подвоювати число зрізів даних з одного ряду детектора. Таким чином на базі 80-рядного детектора отримуються 160 зрізів. Це підвищує роздільну здатність без збільшення дози.
Видалення артефактів від металу – стандартно для всіх досліджень
SEMAR™ (Single Energy Metal Artifact Reduction – технологія зниження артефактів від металу з одним енергетичним рівнем) є новітнім доповненням до набору адаптивних діагностичних технологій.
Цей складний алгоритм дозволяє практично виключити металеві артефакти, поліпшуючи візуалізацію імплантів в кістках і прилеглих м'яких тканинах для безпомилкової і впевненої постановки діагнозу.
На відміну від двохенергетичного сканування, Вам не потрібно заздалегідь планувати дослідження, Ви завжди можете зробити реконструкцію із застосуванням технології SEMAR™ після дослідження пацієнта, при необхідності.
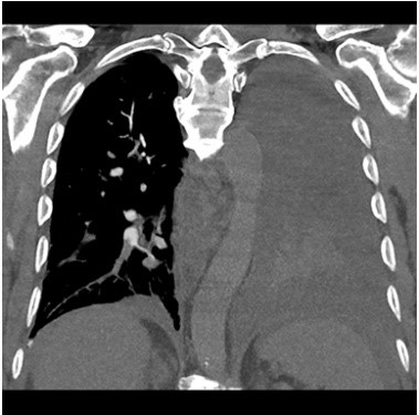
Технологія детектора PUREViSION покращує світловіддачу на 40%, що дозволяє більш ефективно використовувати фотони. 80-рядний детектор має повністю ізотропний елемент детектора, що забезпечує отримання зрізів товщиною всього 0,5 мм.
Режим сканування – SURESubtraction
Унікальний режим субтракційного сканування автоматично синхронізує збір даних і параметри реконструкції для пре- і постконтрастного сканування.
Техніка КТ субтракції потребує безконтрастне (натив) зображення - «маску» для субтракції, зібрану за допомогою низькодозового сканування та контрастне дослідження.
В результаті ми отримуємо ідеальне зображення судин без кісткових структур, кальцинатів або стентів.
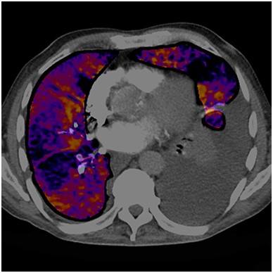
Автоматична субтракція для отримання йодної карти легень – SURESubtraction Lung*
Дозволяє визначити розподіл накопичення йоду в паренхімі легенів для оцінки периферичного дефекту контрастування при хронічній ТЕЛА. Легенева КTA є широко розповсюдженим обстеженням для оцінки пацієнтів з підозрою на легеневу емболію. Проте, виявлення невеликої або субсегментарної емболії може бути ускладнене або неможливе. Субтракція дає можливість створити йодну карту паренхіми легень з високим співвідношенням контрасту до шуму. Використання кодування кольором дозволяє легко визначити області гіпоперфузії в легенях, підвищуючи реальну діагностичну цінність у хворих з прихованою емболією.
Так як тромбоемболія легеневої артерії пов'язана зі значним ризиком для життя пацієнтів, прогноз залежить від правильно і вчасно поставленого діагнозу і лікування.
Автоматична субтракція для кісток – SURESubtraction Ortho*
Алгоритм SURESubtraction для кісток використовує динамічну реєстрацію з високою роздільною здатністю, щоб забезпечити точну субтракцію скелетних структур і кальцифікованих бляшок. Цей алгоритм створений для роботи з великим обсягом даних і складних обчислень. Зображення незамінні для судинних хірургів при виконанні планування лікування.
Ця програма також успішно використовується для ідентифікації посилення в межах коркової і мозкової речовини кісток як в статичних, так і в динамічних перфузійних дослідженнях. КТ з субтракцією може чітко візуалізувати кісткові метастази і інвазію первинної пухлини з більш високою роздільною здатністю, ніж ПЕТ / ОФЕКТ або МРТ.