Надзвичайно тихий.
Відчутно швидкий.


Легкість в отриманні результату та оптимальна якість діагностики
Отримайте оптимізований робочий процес, високу якість зображення та максимальний комфорт для пацієнта в МРТ Vantage Galan 3T від Canon Medical. Система була розроблена, щоб задовольнити Ваші потреби та потреби Ваших пацієнтів. Vantage Galan 3T надасть вам інструменти, які забезпечать швидке та комфортне обстеження пацієнтів.


Основні характеристики:

  • Ультра-коротка та відкрита конструкція томографу
  • 71 см діаметр тунелю
  • Мінімальна необхідна площа – 27 м²
  • Pianissimo™ – технологія тихого сканування
  • M-Power – інтуїтивний інтерфейс користувача
  • Saturn Gradients – нова потужна система градієнтів до 45 мТ/м і до 200 мТ/м/мс
  • Бездротові пристрої синхронізації із фізіологічними параметрами
  • Мінімальне енергоспоживання
  • Технологія нульового випаровування гелю
  • Цифрова передача сигналу для покращеної якості

Технології, що включені у базовий блок:

 

Якість зображення:

 

 

  • Поліпшений магніт: сучасний магніт від Canon Medical, що генерує дуже однорідне статичне магнітне поле та забезпечує широкий діапазон сканування та стабільну якість зображення.
  • Поліпшене екранування градієнтної котушки: продуктивність градієнтної котушки істотно впливає на якість зображення. Передова екранована градієнтна котушка замінює традиційну коротку котушку й забезпечує стабільну якість зображення з усіма послідовностями.
  • RF технологія: унікальна технологія від Canon Medical, отримує МР сигнали від людського тіла, швидко посилюючи, а потім передаючи їх, одночасно пригнічуючи шум.

M-Power™ 

 

Розширені можливості програмного забезпечення, щоб робити більше. 
M-Power було створено технологами для технологів. ЇЇ інтуітивний інтерфейс спрощує робочий процес та постпроцессинг до трьох кроків 1, 2, 3.


Pianissimo™

 

Шум може стати на заваді обстеженню та бути незручною перешкодою для пацієнтів. Pianissimo дозволяє навіть самим чутливим пацієнтам отримати приємний досвід від сканування.


Інтегровані котушки ATLAS

 

Ця технологія дозволяє об’єднувати всі анатомічні котушки і проводити обстеження кількох ділянок за один раз без повторного позиціювання паціієнта.


ForeSee View


Попередній перегляд в реальному часі планування зрізів дозволяє технологу більш точно планувати складні проекції і, відповідно, підвищувати точності сканування і зменшувати кількість повторних сканувань.


Загальна радіологія
Онкологія
Акушерство і гінекологія
Кардіологія, судинні дослідження
Скелетно-м’язова система
Загальна радіологія

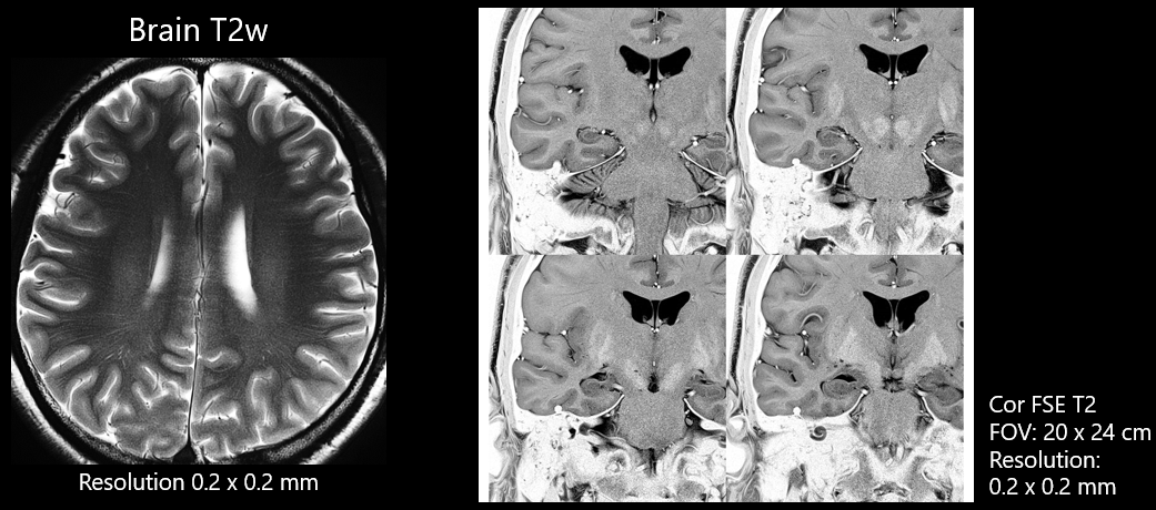
Завдяки поєднанню базових технологій ATLAS, Pianissimo™, SPEEDER проведення досліджень займають мінімум часу та надають максимум комфорту для пацієнта. Завдяки поєднанню різних анатомічних котушок. Обстеження головного мозку за короткий час доступне з Vantage Galan 3T


Дослідження з надвисокою деталізацією дозволяють візуалізувати більш тонкі зміни і раніше виявити хвороби.


Безшовність отриманих зображень

Мінімальна кількість етапів для сканування всього пацієнта.

Результат – скорочення часу дослідження

Онкологія
Акушерство і гінекологія
Кардіологія, судинні дослідження
Скелетно-м’язова система